Choose a country to view content specific to your location

Taq DNA Polymerase

Taq DNA Polymerase is a combination of next-generation DNA polymerase and a novel buffer system that has been designed to deliver very high yield, fast PCR amplification over a wide range of PCR templates. It has been developed to give very robust amplification, allowing it to perform well with most PCR testing, including challenging templates and in the presence of PCR inhibitors.

Have questions about a product?

Contact us to learn more about Meridian’s molecular or immunoassay reagent portfolio. We want to hear from you!

Meridian's Taq DNA Polymerase

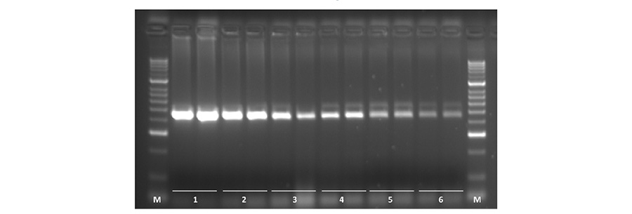
Robust PCR amplification of GC-rich human genomic DNA

A serial dilution in duplicate of human genomic DNA (1 μg, 200 ng, 100 ng, 50 ng, 25 ng and 12.5 ng, 1-6 respectively) was used with primers and Taq DNA Polymerase to amplify a 450 bp fragment of the human myc gene. The section of gene used has 61% GC content and was selected to demonstrate the high yield and sensitivity of the Taq DNA Polymerase, making it the perfect choice for the amplification of complex PCR templates.

Taq DNA Polymerase, MDX001

Application: PCRSpecimen Type: DNA PolymeraseConcentration: 5 U/mLHigh Concentration: YesWet: Yes
Glycerol-Free: YesLyo-Ready: NoAir-Dryable: NoDryable: NoSustainability:

Very high yield, high-performance polymerase, to give fast, superior amplification, even with challenging templates and in the presence of PCR inhibitors.

Available in 0.5 mL (500 Units) or 10 mL (50,000 Units) aliquots

Description

Taq DNA Polymerase is provided with an optimized buffer system containing dNTP, MgCl2, stabilizers, and PCR enhancers at optimal concentrations which eliminates the need for optimization. The DNA polymerase has been developed to give more robust amplification than other polymerases allowing it to perform well with challenging templates in the presence of PCR inhibitors, making it ideal for fast PCR reactions across a range of templates, without compromising specificity or yield.

Specifications

DescriptionVery high-performance polymerase, supplied with an optimized, novel buffer system, containing dNTPs, MgCl2 and enhancers, to give superior amplification.
Concentration5 U/µL
AppearanceClear, colorless solution
Hot StartNone
ApplicationPCR, qPCR
Sample typecDNA, DNA
Presentation2 vials
Storage-20 °C
Mix stabilitySee outer label
FunctionalityPCR with a dilution series of human genomic DNA, single, distinct band was observed
DNA ContaminationNone detected in PCR amplification with traces overlay with the negative control on E. coli and mouse genomic DNA specific targets.
DNase ContaminationNo detectable degradation

Catalogs & Brochures

Reagent Solutions for Molecular Diagnostics
Reagent Solutions for Molecular Diagnostics

FAQs: Taq HS DNA Polymerase

If my PCR testing is being impeded by too many PCR inhibitors, what can I do for optimization?
Decreasing the template concentration will help to minimize the concentration of inhibitors, the amount of DNA polymerase and primer can also be increased. In some cases you may also have to add a pre-treatment step if the DNA is not accessible.

These terms refer to parameters to be considered when performing PCR testing.
Yield: The amount of DNA produced in a PCR reaction. High yield increases sensitivity.
Fidelity: The accuracy of the enzyme at incorporating the correct dNTP to the elongating DNA strand. For standard PCR this is not important, but for sequencing or expression a high-fidelity mix (such as High-Specificity Pfu HS Mix (MDX006)) may be required.
Processivity: The length of time a polymerase is associated with the template and therefore the size of fragment which can be amplified (the amplicon). Taq HS DNA Polymerase will work with amplicons up to 5 kb.
Specificity: A measure of the unwanted by-products generated in a reaction. This is the reason for having hot start PCR, this prevents miss-priming at low temperatures and non-specific amplification

Taq DNA Polymerase has been validated with a broad range of PCR templates including DNA extracted from human, animal and plant samples, making it the ideal choice for the following applications:
• End-point PCR testing
• High-yield PCR testing
• Fast PCR testing
• Multiplex PCR testing
• qPCR and RT-qPCR testing

Yes, Taq DNA Polymerase can be used for quantitative PCR amplification (qPCR), but it will require a hot-start antibody (MDX014), qPCR buffer such as Fast qPCR Buffer, 4x (MDX033), or for RT-qPCR, a one-step buffer such as 1-Step qPCR Buffer, 4x (MDX034) and reverse transcriptase such as MMLV-RT (MDX044).

This depends on the length of the amplicon and the complexity of the template. For fast PCR, the initial denaturation will remain 1 minute, but with low complexity template such as plasmid DNA, an annealing of 5 seconds and extension time of 10 seconds is sufficient for amplicons up to 1 kb. In order to find the fastest optimal condition, for more complex or longer amplicons, we suggest incrementally increasing the extension time successively up to 30 s/kb.

Yes, Taq DNA Polymerase works very well with difficult samples like GC rich or bisulfite converted DNA. However a hot-start to the PCR (such as MDX014) is important, as it decreases primer dimer and unspecific amplification.
If optimization is required, we would suggest starting with the annealing temperature and with bisulfite conversion, the process can fragment the DNA, so it may be useful to increase the amount of template and polymerase.

The enzyme has an error rate of approximately 1 error per 2.0 x 10⁵ nucleotides incorporated. If you are looking for a DNA polymerase with a lower error rate, for next-generation sequencing (NGS) library or expression a high-fidelity DNA polymerase (such as High-Fidelity Pfu (MDX003)) or mix (such as High-Specificity Pfu HS Mix (MDX006)) should be used.

Get In Touch With A Specialist

Have questions about a product? Want to learn more about Meridian’s molecular or immunoassay reagent portfolio? We want to hear from you!

By submitting your information in this form, you agree that your personal information may be stored and processed in any country where we have facilities or service providers, and by using our “Contact Us” page you agree to the transfer of information to countries outside of your country of residence, including to the United States, which may provide for different data protection rules than in your country. The information you submit will be governed by our Privacy Statement.

Learn More About Us