Choose a country to view content specific to your location

Taq Dilution Buffer

Taq Dilution is an optimized buffer system that has been designed to conferring long-term stability at -20 °C to high-quality Taq DNA polymerase such as MDX001 or MDX008.

Have questions about a product?

Contact us to learn more about Meridian’s molecular or immunoassay reagent portfolio. We want to hear from you!

Meridian's Taq Dilution Buffer

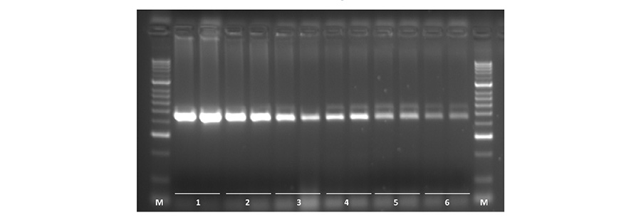
Robust PCR amplification of GC-rich human genomic DNA

A serial dilution in duplicate of human genomic DNA (1 μg, 200 ng, 100 ng, 50 ng, 25 ng and 12.5 ng, 1-6 respectively) was used with primers and Taq DNA Polymerase to amplify a 450 bp fragment of the human myc gene. The section of gene used has 61% GC content and was selected to demonstrate the high yield and sensitivity of the Taq DNA Polymerase, making it the perfect choice for the amplification of complex PCR templates.

 

Taq Dilution Buffer, MDX007

Application: PCRSpecimen Type: DNAConcentration: 1xHigh Concentration: YesWet: Yes
Glycerol-Free: YesLyo-Ready: NoAir-Dryable: NoDryable: NoSustainability:

Taq Dilution is an optimized buffer system that has been designed to conferring long-term stability at -20 °C to high-quality Taq DNA polymerase.

Available in 2 mL or 100 mL aliquots

Description

Taq Dilution Buffer requires the addition of a polymerase and a reaction buffer, dNTPs, and MgCl2, together with primers and templates.

Specifications

DescriptionTaq HS Antibody is a mix of anti-Taq monoclonal antibodies designed to inhibit Taq DNA polymerase activity at room temperature. It is used in the preparation of hot-start PCR or qPCR master mixes and helps to prevent nonspecific amplification and primer-dimer formation, increasing specificity and sensitivity, while allowing assembly of reactions at ambient temperatures.
Concentration10 mg/mL ≤ 5%
AppearanceClear, colorless solution
ApplicationPCR, multiplex PCR, qPCR, multiplex qPCR
Sample typecDNA, DNA
Presentation1 vial
Storage-20 °C
Mix stabilitySee outer label
SensitivityqPCR with a dilution series of human genomic DNA, to determine specific product at limiting template concentration
Efficiency± 0.5 Ct variance between test and reference sample
DNA ContaminationNone detected in PCR amplification with traces overlay with the negative control on E. coli and mouse genomic DNA specific targets.

Catalogs & Brochures

Reagent Solutions for Molecular Diagnostics
Reagent Solutions for Molecular Diagnostics
Catalog

FAQs: Taq Dilution Buffer

What concentration of Taq should be used?

We generally recommend using Taq DNA Polymerase at a concentration of 25 units/mL (1.25 units/50 μL reaction). However, the optimal concentration of Taq DNA Polymerase may range from 5–50 units/mL (0.25–2.5 units/50 μL reaction) in specialized applications.

Too much Taq will result in an excessive background of unwanted DNA fragments (a smear on a gel) while a huge excess may cause the reaction to fail with no product being detected.

Due to the difficulties in pipetting small volumes of enzyme, Taq DNA Polymerase can be diluted in Taq Dilution Buffer. Unlike Taq Reaction Buffer, the Taq Dilution Buffer can then be used to store the Taq DNA polymerases, conferring long-term stability at -20 °C.

Decreasing the template concentration will help to minimize the concentration of inhibitors, the amount of DNA polymerase and primer can also be increased. In some cases you may also have to add a pre-treatment step if the DNA is not accessible.

Get In Touch With A Specialist

Have questions about a product? Want to learn more about Meridian’s molecular or immunoassay reagent portfolio? We want to hear from you!

By submitting your information in this form, you agree that your personal information may be stored and processed in any country where we have facilities or service providers, and by using our “Contact Us” page you agree to the transfer of information to countries outside of your country of residence, including to the United States, which may provide for different data protection rules than in your country. The information you submit will be governed by our Privacy Statement.

Learn More About Us